Mundo, 23 junio 2025 (ATB Digital).— Uno de los órganos que se ve más afectado por el paso del tiempo es el cerebro. Conforme envejecemos, el volumen de la masa cerebral baja hasta un 15 %, y el número de vasos sanguíneos que irrigan el tejido va descendiendo, provocando una hambruna que puede resultar en la muerte de neuronas. Estas situaciones pueden verse agravadas por ciertas enfermedades y, aunque acaben superándose, desembocan en efectos muy perjudiciales para la salud cerebral, afirma Saila Hilal, doctora en Neurología por la Universidad Nacional de Singapur.
Estos cambios cerebrales suponen un riesgo a la hora de desarrollar deterioro cognitivo relacionado con la edad, así como otras enfermedades cerebrovasculares. Es decir, cuanto más mayores somos, más probabilidad hay de que nuestro cerebro deje de funcionar como debería. Aunque todavía no se conoce con certeza cómo se relacionan los daños existentes con el mal funcionamiento del cerebro.
Para tratar de resolver esta incógnita, un estudio transversal ha analizado los datos de 1471 pacientes con una media de 60 años y de los cuales, el 60% no sufrían ningún deterioro cognitivo. La idea era establecer una serie de parámetros que permitiesen medir la edad cerebral de los participantes y compararla con su edad real. De este modo, el objetivo de los investigadores era establecer una relación entre la «edad cerebral» y el riesgo de padecer problemas mentales en la vejez.
Una ventana a nuestro interior
La tecnología médica permite adentrarse en el interior de las personas y observar, desde la distancia y sin montar una carnicería, cómo funcionan todos y cada uno de los órganos. Entre todas las ventanas que permiten asomarse al interior del cuerpo, una de las más pequeñas y borrosas es, precisamente, la que ha pensado y diseñado todas estas maravillas técnicas: el cerebro.
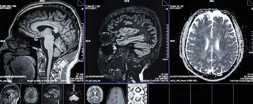
Para visualizar el interior del cráneo se emplean, por lo general, máquinas de resonancia magnética. Estas se basan en el uso de imanes muy potentes y ondas de radio que alteran el estado de los átomos de hidrógeno (u otros, dependiendo de las necesidades de estudio) presentes en nuestras moléculas. Una vez estos átomos vuelven a su estado natural, liberan una energía medible, que se puede detectar y localizar, dando así una visión indirecta de qué sucede en el interior del cerebro. Otras técnicas, como el TAC, emplea rayos X con los que se pueden realizar cortes virtuales de distintas secciones del cerebro.
Gracias a estas tecnologías, es posible detectar desde las áreas cerebrales que se encuentran consumiendo más energía durante una actividad, hasta microrroturas en los vasos sanguíneos cerebrales, además de un gran número de otras patologías. Pero para la Dra. Hilal, también permiten detectar otros parámetros interesantes para su estudio, como la irrigación cerebral o la presencia de traumatismos y la cantidad de muerte neuronal. Así, los investigadores pueden dotar de un valor a la presencia de cualquiera de estas condiciones y establecer un algoritmo que indique la edad del cerebro.
Pero no todo son máquinas
Para asociar la edad cerebral los participantes del estudio de la Dra. Hilal también realizaron pruebas de función ejecutiva, atención, lenguaje o memoria. Además, demostraron su destreza y coordinación mediante ejercicios de visuoconstrucción, que implican copiar un dibujo o construir un modelo, y velocidad visuomotora, que es la rapidez con la que alguien procesa la información visual y la convierte en una acción.
También calcularon una puntuación para cada participante en función otros valores que suelen afectar al funcionamiento del cerebro, como su edad, etnia, nivel de educación, tabaquismo, índice de masa corporal, síntomas depresivos, hipertensión, diabetes, colesterol e ictus.
Como pudieron confirmar, si existen una mayor cantidad de factores de riesgo, los pacientes también presentan peores habilidades de pensamiento, memoria y rendimiento cognitivo. Es decir, como indica Hilal: “La edad cerebral puede ser un biomarcador útil para determinar el riesgo de deterioro cognitivo de una persona”.
Cuidando el cerebro
El estudio publicado en Neurology es todavía muy preliminar y no se ha centrado en buscar mecanismos, si no más bien en establecer una relación entre la presencia de riesgos y el deterioro. También cuenta con ciertas limitaciones, como que únicamente se ha realizado con voluntarios del sureste asiático, y el peso de los factores que han analizado podría ser distinto en otras poblaciones.
Sin embargo, sí que da a entender que mejor tratar de cuidar el cerebro durante nuestra vida para que al envejecer no aparezcan problemas indeseados. Para ello, es muy aconsejable mantener el cerebro activo mediante la lectura, actividades artísticas, o deportes nuevos que conlleven equilibrio o coordinación de distintas extremidades. Un cerebro entrenado es un cerebro sano, y un cerebro sano tiene más posibilidades de envejecer de forma saludable.
Fuente: National Geographic España
